 |
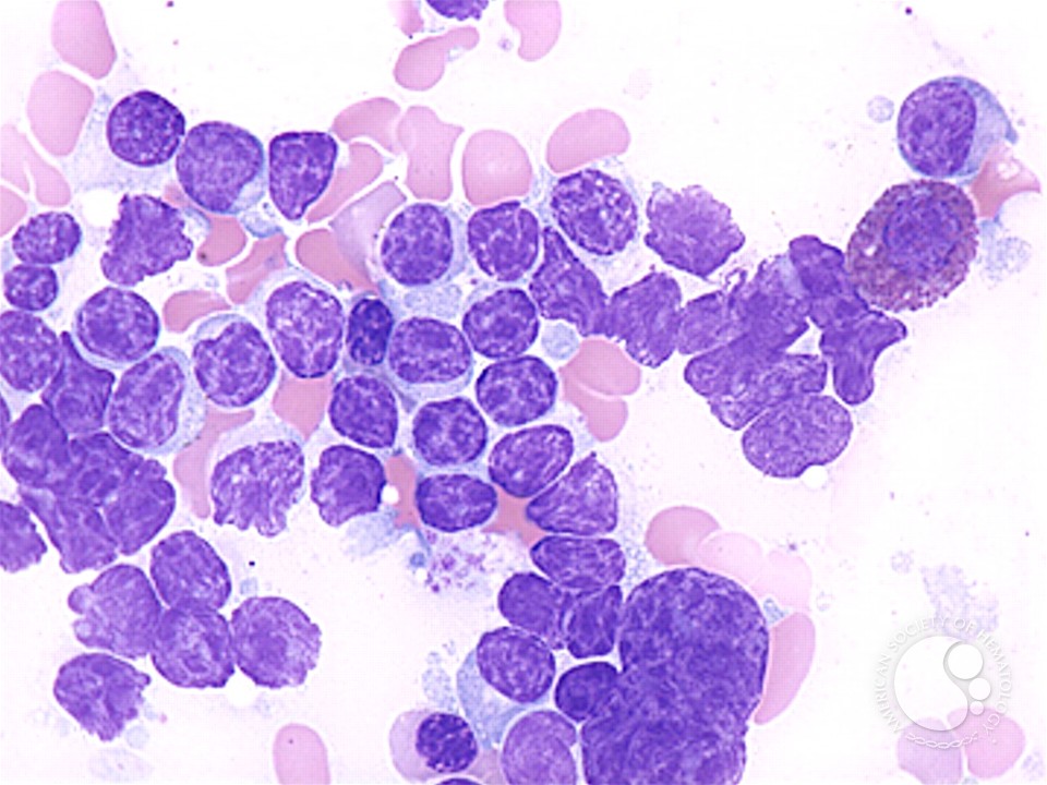
Malignant white blood cells crowd out normal cells in CLL – image courtesy American Society of Hematology |
In a study of patients with the most common form of leukemia, researchers have found that a newly approved drug is both more effective and easier to take than conventional therapy.
The study led by Scott Smith, MD, PhD of Loyola Medicine and Loyola University Chicago Stritch School of Medicine, the researchers enrolled 547 patients with chronic lymphocytic leukemia (CLL) at 219 cancer centers in the U.S. and Canada. All participants were over the age of 65 and randomly assigned one of three treatments. The standard treatment of bendamustine plus rituximab, ibrutinib (Imbruvica®) alone, or ibrutinib plus rituximab.